A new frontier for cancer diagnostics

17 Mar 2017
17 Mar 2017

A new frontier for cancer diagnostics

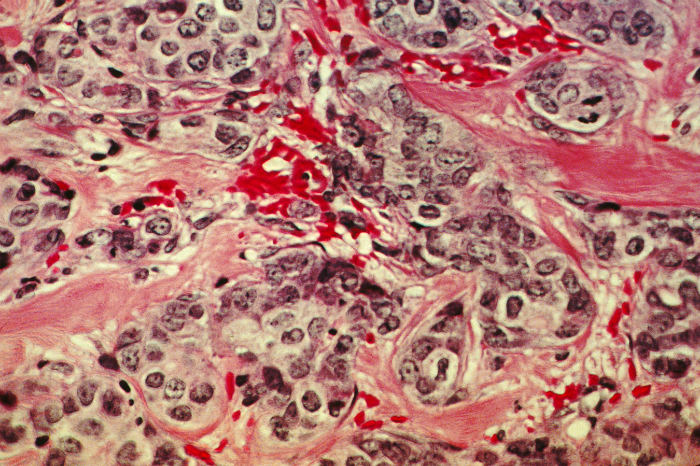
A histological slide of cancerous breast tissue. The pink “river ways” are normal connective tissue; the dark grains are cancer cells.

As the second leading cause of death globally, cancer was responsible for 8.8 million deaths in 2015, approximately 70% of which occurred in low- and middle-income countries. The global burden of cancer will grow over the next two decades, with an estimated 22 million new cases and 13 million deaths each year by 2032.

The University of Cape Town (UCT) has entered into a landmark partnership with BGM Pharma and the South African Nuclear Energy Corporation (NECSA) to bring a new theranostic called GluCAB to market. The term “theranostics” was coined to define an agent used for diagnosis via imaging followed by therapy, and it’s fast becoming the norm in personalised medicine.

A first for South Africa, the partnership signifies a breakthrough in cancer diagnosis and treatment.

In collaboration with a team at NECSA, Professor Iqbal Parker (Institute of Infectious Diseases and Molecular Medicine), Professor Roger Hunter (Department of Chemistry) and their PhD student Cathryn Driver, developed a molecule for next-generation chemotherapy.

The molecule was designed to operate via a two-stage mechanism. The first component of the GluCAB molecule identifies cancerous cells due to their surface signatures and binds to them, distinguishing them from normal cells. Thereafter the second component provides therapeutic doses of ionising radiation to kill malignant tumour cells. This provides very focused treatment and minimises the impact on neighbouring healthy cells.

Martin Magwaza, co-founder and president of BGM Pharma, said, “Although we are a few years from market readiness, the initiation of clinical studies for a local technology is a significant development and represents progress in an area of healthcare that remains a major threat to people throughout the world ... Theranostics like GluCAB are the new frontier when it comes to the treatment of an illness that continues to ravage vast populations of people globally.”

Addressing global health challenges

Speaking about the deal, which is estimated to be worth approximately R600 million in clinical trials and development costs, Magwaza said that to take a molecule from doctoral thesis to clinical testing for the global market is a huge milestone for the country and the local healthcare market.

Initially the new theranostic will be used to seek, identify and treat solid mass tumours such as those found in breast and ovarian cancer.

There are many advantages of the new compound, including improved diagnosis and treatment, reduced patient recovery time, increased survival rates, and significantly lower pharmacological toxicity and side effects.

“This will not only have an impact on individual cancer patients and their families, but it promises to become a socio-economic driver in healthcare systems around the globe,” said Brian Mphahlele, the executive manager of new business development at NECSA.

Deputy Vice-Chancellor Professor Mamokgethi Phakeng said, “It is exciting to see UCT research being matured through the various development phases in partnership with industry and ultimately making an impact on society. The Faculty of Health Sciences plays a vital role in responding to South African problems in the context of African and global health challenges by supporting training and research.”

Photo Dr Cecil Fox via Flickr