Skip to main content
    Division of Haematology logo
  • University of Cape Town
    • Home
    • About us
    • Study at UCT
    • Campus life
    • Research & innovation
    • Internationalisation
    • Vision 2030
    • News & media
    • Contacts & maps
    • Donate to UCT
  • Faculty of Health Sciences
    • Home
    • Undergraduates
    • Postgraduates
    • About Us
    • Departments & units
      • Academic Departments
        • Anaesthesia & Perioperative Medicine
        • Family, Community and Emergency Care
        • Health Sciences Education
        • Paediatrics & Child Health
        • Health & Rehabilitation Sciences
        • Human Biology
        • Integrative Biomedical Sciences
        • Medicine
        • Obstetrics & Gynaecology
        • Pathology
        • Psychiatry & Mental Health
        • Public Health
        • Radiation Medicine
        • Surgery
      • Administrative Departments
      • Operational Units
      • Bioethics Centre
    • Research
    • Social Accountability
    • Alumni
    • Faculty Lectures
      • UCT Inaugural Lecture Series – Health Sciences
        • Inaugural Lectures – News – Health Sciences
      • Special Lectures
    • Communications
    • Calendar

Division of Haematology

  • Department of Medicine
  • Department of Pathology
  • NHLS
  • Home
  • About us
    • Haematology Pathology Staff
    • Clinical Haematology Staff
    • Research Laboratory Staff
    • Clinical Haematology Research Staff
  • Research
    • Clinical Trials
    • Student Projects
  • Diagnostic Services
    • Groote Schuur Hospital
    • Red Cross Children's Hospital
  • Publications
  • Training
  • Meetings
  • News
  • Contact Us

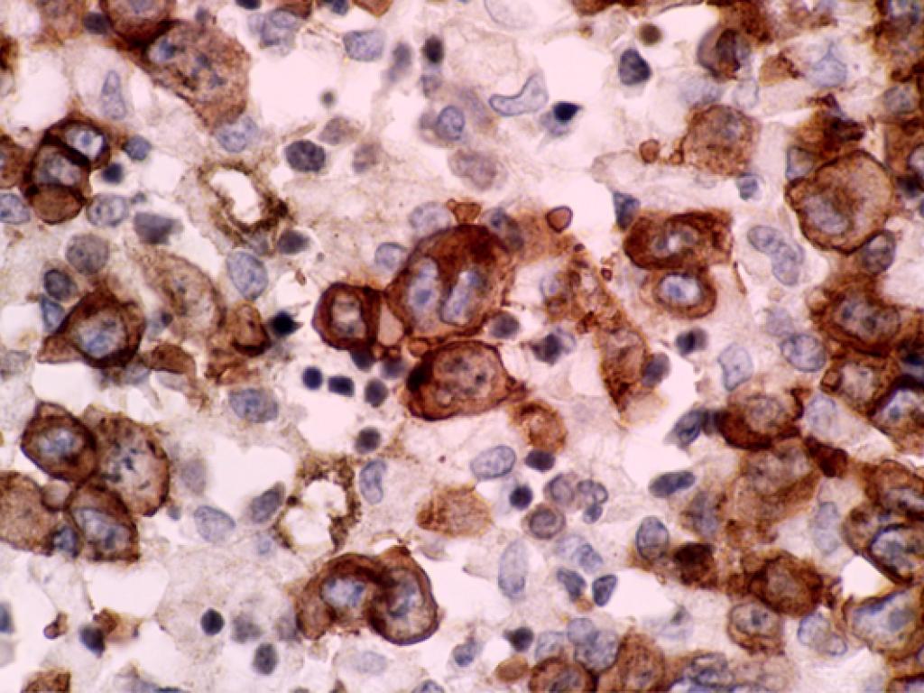
Immunohistochemistry

24 Aug 2023
ihc
24 Aug 2023

Immunohistochemistry

Immunohistochemistry (IHC) is used to determine the immunophenotype of cells and malignant infiltrates on bone marrow histology.

  • Latest
Clinical Trials

Clinical Trials

10 Jan 2024
News

Haematology Newsletter

05 Jan 2024
Table Mountain

Welcome

05 Jan 2024
HPLC

High-performance liquid chromatography

24 Aug 2023
perls

Perl’s Prussian Blue

24 Aug 2023
flow

Flow cytometry

24 Aug 2023
Division of Haematology logo

Contact Us

Tel: +27 21 650 4513/404 3073
Fax: +27 21 448 8607
Email: Jolene Brooks

Room 6.06
6th Floor Chris Barnard Building
Faculty of Health Sciences
University of Cape Town
Anzio Road
Observatory, 7925
Cape Town
South Africa

Copyright © - 2026 - University of Cape Town - All rights reserved. POPIA | PAIA.